上图:前列腺的血管神经束上图:前列腺中央区腺体的筛状结构上图:前列腺中央区腺体的Roman桥上图:前列腺的神经血管束上图:前列腺被膜内的神经上图:前列腺被膜内的神经节上图:正常前
2
上图:CT,前列腺炎,男,32岁,尿频、尿急1周。前列腺不大,被膜光整,外周带见不规则斑片状T2WI低信号T1WI等信号灶,DWI未见明显异常信号,动态增强曲线为平台型上图:急性前列腺炎。腺
上图:前列腺增生的超声图像表现非常丰富,其中包括前列腺增生本身的病理改变,也有许多并发症的病变。前列腺体积大小不一,可表现为不同程度的增大,外形饱满,但被膜光滑完整,移行区内
7上图:良性前列腺增生(大体),常累及前列腺移行区,呈大小不等的结节,灰黄灰白色。以腺体增生为主者,可见大小不一的囊腺腔,组织较软,囊内有白色液体。以纤维肌肉间质增生为主者,可呈弥漫
8上图:前列腺上皮内瘤变(PIN),低级别,上皮细胞拥挤,呈簇状增生,腔面不规则上图:前列腺上皮内瘤变(PIN),低级别,(上图高倍)示核染色质基本正常,核仁小而不显著上图:前列腺上皮内瘤变(PIN),低级别,
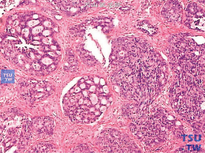
9上图:前列腺非典型腺瘤样增生,为小叶内腺体增生上图:前列腺非典型腺瘤样增生,病灶中有正常的腺体上图:前列腺非典型腺瘤样增生,腺上皮细胞胞质苍白或透明上图:前列腺非典型腺瘤样增
10上图:前列腺腺癌大体上图:前列腺腺癌,切面,肿瘤侵犯精囊腺。指诊可及肿物上图:前列腺腺癌的形态学特点,癌组织呈腺泡状结构,腔内结晶体上图:前列腺腺癌的形态学特点,肿瘤由大小不一的
12上图:前列腺腺癌Gleason分级系统示意图上图:前列腺偶发癌,Gleason 1级。肿瘤由排列密集、单一圆形、大小相似的腺体组成小结节,境界清楚,对周边组织有挤压上图:前列腺偶发癌,Gleaso
13上图:前列腺导管腺癌,肿瘤向尿道或大导管腔内生长,具有特征性的管状结构上图:前列腺导管腺癌,肿瘤呈管状或乳头状结构,形态类似于子宫内膜癌上图:前列腺导管腺癌,肿瘤呈管状结构,上皮
14上图:前列腺尿路上皮癌,中央可见坏死上图:前列腺尿路上皮癌,免疫组化:UP(+)上图:前列腺尿路上皮癌,呈假腺样结构上图:前列腺尿路上皮癌,呈假腺样结构,上图高倍上图:前列腺尿路上皮癌,呈假
15