X
  • 为什么尿中可检出真菌?

    答:真菌形态特征:真菌为无色,圆或椭圆形,大小约2.5~5μm,外形清晰,大小不等,有时可见生芽状,有的可见到菌丝,构成真菌菌体的基本单位为菌丝,呈长管状,可不断自前端生长并分枝。易与红

    1
  • 为什么可采用流式细胞术进行真菌药敏试验

    答:为临床早期选择抗菌药物提供依据,研究人员将流式细胞术应用于抗真菌药物MIC值的检测,仅需6小时即可获得药敏结果。流式细胞术是利用流式细胞仪检测不同药物浓度作用下各测试

    2
  • 为什么可采用E-test法进行真菌药敏试验?

    答:E-test法是依据抗菌药物在琼脂内扩散形成浓度梯度以确定其MIC值的原理而设计的一种药敏试验。操作方法与琼脂扩散法类似,判断结果与琼脂稀释法相同,该方法综合了琼脂扩散法

    3
  • 为什么临床实验室可常规开展纸片扩散法进行真菌药敏试验

    答:纸片扩散法又称琼脂扩散法,方法是将受试菌均匀地接种至琼脂培养基,将浸透药物的纸片放置在琼脂培养基表面,经过一定时间(依据受试菌的生长速度而定)的培养后通过抑菌圈的直径确

    4
  • 为什么真菌会出现交叉耐药现象?

    答:交叉耐药现象主要出现在唑类药物(氟康唑、伊曲康唑、伏立康唑等)之间,即真菌对某个唑类药物耐药,同时也会对其他唑类药物耐药。唑类药物具有相似的抗真菌作用机制,即能够竞争性

    5
  • 为什么应根据真菌的种类与标本的类型选择合适的真菌培养基?

    答:常用的真菌培养基的营养物质往往只提供真菌生长需要最低营养成分,以利于限制细菌生长而促进真菌生长繁殖,提高真菌分离率。至今仍无一种适合所有真菌生长的培养基,根据真菌种

    6
  • 为什么真菌能够引起眼部感染

    答:临床上致病性真菌主要为丝状真菌和酵母样真菌。正常情况下眼表面黏膜上皮屏障对外源真菌有明显的抵抗作用,但在一定条件下(如外伤、内眼手术、长期应用广谱抗菌药物使机体菌

    7
  • 真菌

    物界中较低等的一门。一类单细胞或多细胞,营寄生或腐生生活的原生植物。种类繁多,包括藻状菌纲、子囊菌纲、担子菌纲、半知菌纲四纲。真菌体内不含叶绿素,不能进行光合作用。一

    8
  • 感染的病原体:细菌、真菌、病毒及寄生虫

    细菌感染粒细胞缺乏时期合并细菌感染时常见的致病菌有G-菌有肠杆菌属、假单胞菌属、克雷伯菌属、变形杆菌及沙雷菌属等。中性粒细胞减少的患者合并细菌感染的致病菌第一位是

    9
  • 真菌对吡咯类抗真菌药耐药的主要机制是什么?

    答:真菌对吡咯类抗真菌药尤其氟康唑的耐药性较为常见,如白念珠菌、克柔念珠菌和光滑念珠菌中耐氟康唑株均有报道。耐药机制主要由于真菌细胞膜麦角固醇的生物合成途径发生改变

    10
  • 真菌对多烯类抗真菌药耐药的主要机制是什么?

    答:真菌对两性霉素B和制霉菌素等多烯类耐药者极为少见。已有的报道仅限于念珠菌属中的少见菌种,如光滑念珠菌、季也蒙念珠菌(Candidaguilliermondii)等。其耐药机制尚不十分清楚

    11
  • 目前CLSI/NCCLS是否已有适合于抗真菌药纸片法药敏?

    答:有。2004年CLSI颁发的M44-A文件推荐采用纸片扩散法对临床分离真菌进行药敏试验。该方法对药敏的判断标准与微量稀释法(M27-A2)之间的一致性也作了规定。如氟康唑(25μg/片)

    12
  • 近年来国内念珠菌属耐药性变迁的特点是什么?

    答:国内上海、北京和广州三地5家综合性医院连续5年(2001—2005年)来的酵母菌的耐药性监测资料显示,白念珠菌在5年中的耐药率总体趋势稳定,耐药率保持在2.2%以下;但非白念珠菌

    13
  • 近年来真菌的主要变迁有哪些特点?

    答:随着免疫缺陷患者的增多以及新的操作技术的开展,深部真菌感染的发病率正在逐年增加。据欧洲报道在教学医院的尸检病例中侵袭性曲霉病占4%。美国的报道:念珠菌菌血症已占医院

    14
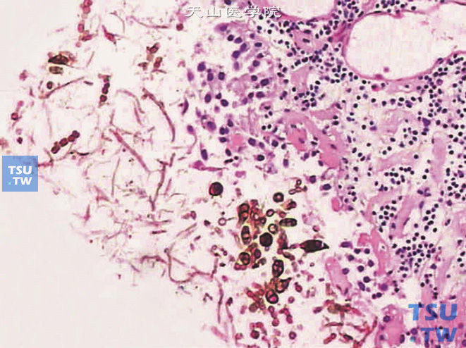
  • 真菌性膀胱炎病理图谱

    上图:真菌性膀胱炎,放线菌脓肿上图:真菌性膀胱炎,可见孢子和假菌丝上图:真菌性膀胱炎,上图高倍,示孢子和菌丝

    15
  • 真菌培养需要多长时间?

    答:①念珠菌属通常要在显色培养基上需要24~48小时才能显色,对特征明显的白色念珠菌或热带念珠菌24~48小时即可报告;如用自动化鉴定仪可以在24小时获得纯菌落后18~24小时可获得结果

    16
  • 为什么真菌药敏试验会出现重复性较差的现象?

    答:重复性差常发生在三唑类抗真菌药物,其原因是判断终点会产生拖尾现象,终点的判断可以是被测试真菌完全被抑制,也可以80%被抑制,由此可产生重复性差的现象。

    17
  • 卡氏肺孢子虫特征性鉴定依据有哪些?

    答:①PC生活史中的滋养体、包囊前体和包囊是重要鉴定依据。②病理组织或肺泡灌洗液(BAL)用六甲基四胺银染色或Giemsa染色可找到PC的包囊体,圆形、5μm、内含滋养体、呈皱纹、

    18
  • 什么是卡氏肺孢子虫主要的感染途径?

    答:PC的感染途径还未明了,很可能是空气传播,也有学者认为是内源感染。人和哺乳动物是唯一宿主;易感人群是营养不良的儿童,艾滋病患者,原发性免疫缺陷或应用酶抑制剂后免疫低下的患

    19
  • 卡氏肺孢子虫应归属真菌还是原虫?

    答:PC的分类至今有争议,多数的意见是应归属原虫或真菌。随着分子技术的发展,PC基因组中特异DNA片段测序结果表明PC与啤酒酵母菌存在进化近缘关系。PC与真菌有60%的相似性而与原

    20
 143    1 2 3 4 5 6 7 8 下一页 尾页