X
  • 前列腺癌内分泌治疗展望:改善细胞内的去势

    有趣的是,有关LHRH激动剂所做的多数工作,都集中在睾酮水平方面。然而,最近的资料明确地指出,需要完全地控制细胞内的睾酮水平,以避免雄激素受体的活性反应。这可以通过维持可能最

    1
  • 细胞遗传学基础及分子细胞遗传学

    细胞遗传学基础人类的配子(精子和卵子)中有23条不同染色体,称为单倍体细胞。其中22条男女相同称为常染色体,另一条不同的染色体称为性染色体,男性为Y、女性为X。受精卵有来自父方

    2
  • 细胞对糖的摄取与利用

    葡萄糖进入细胞的方式有多种,包括被动扩散(passive diffusion)、易化扩散(facilitate diffusion)和主动转运(active transport)等。一些细胞的细胞膜对葡萄糖的通透性大,葡萄糖可顺

    3
  • 细胞或组织内蛋白定位技术

    免疫组织化学又称免疫细胞化学,利用抗原与抗体特异性结合的原理,通过化学反应使标记抗体的显色剂(荧光素、酶、金属离子、同位素)显色来确定组织细胞内抗原(多肽和蛋白质),对其进行

    4
  • 心传导系统细胞组成

    心肌细胞分为工作细胞和自律细胞。自律细胞的功能特征是产生和传导动作电位,由此引起工作细胞的收缩和舒张。自律细胞主要包括起搏细胞、移行细胞和浦肯野纤维,这些细胞多聚集

    5
  • 心脏前体细胞的发生和心原基的形成

    心前体细胞发生于原肠胚形成的早期。在鸡胚观察到,心前体细胞最早出现于原条头端前方0.125~0.75mm处,并由此进人中胚层。心前体细胞离开原条后向两侧迁移,进入前肠尾端两侧的中

    6
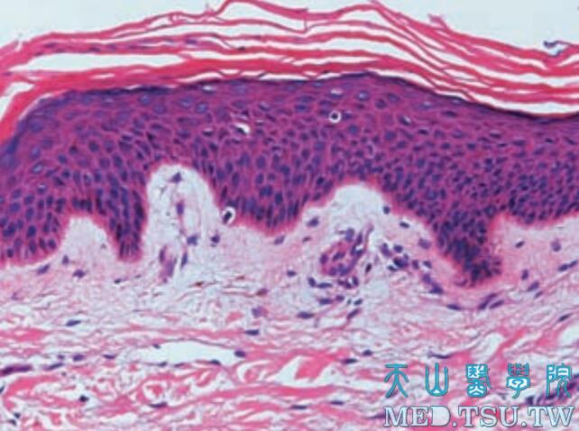
  • 表皮组织:角质形成与树枝状细胞

    表皮由两大类细胞所组成,即角质形成细胞与树枝状细胞。两者迥然不同,角质形成细胞具有细胞间桥以及丰富的胞质,用HE染色即可着色;而树枝状细胞则无细胞间桥,其胞质需用特殊染色或

    7
  • 色素细胞的演变过程

    人类最常见、最重要的色素是黑素。它有两种形式:黑色或深棕色的优黑素和红色或黄色的浅黑素,两者均是酪氨酸的氧化产物。另外,还有三种比较常见的色素和各种动物呈现的颜色有

    8