天山医学院
三
锁
X
#舌下囊肿
检索
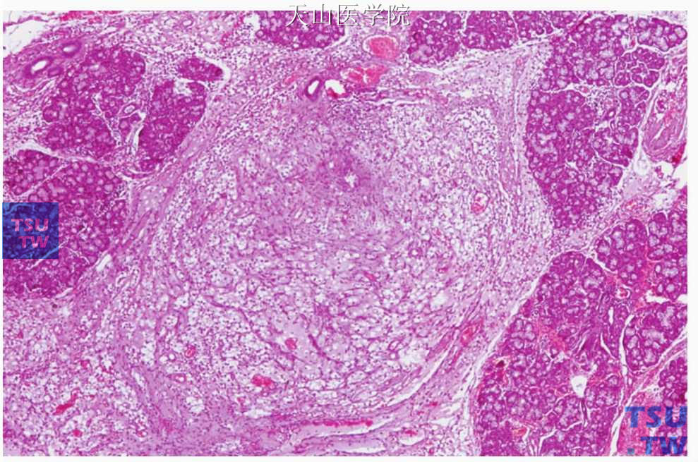
舌下囊肿
舌下囊肿(唾液腺瘤样病变的临床病理)
舌下囊肿(唾液腺瘤样病变的临床病理)
舌下囊肿(ranula)是发生在舌下腺的黏液囊肿。Ranula一词来自于拉丁单词“rana”(意为青蛙)。早在1676年Wiseman在他的外科学教科书中就提到舌下囊肿来自于舌下腺并且
1
顶部