天山医学院
三
锁
X
#坏死性唾液腺化生
检索
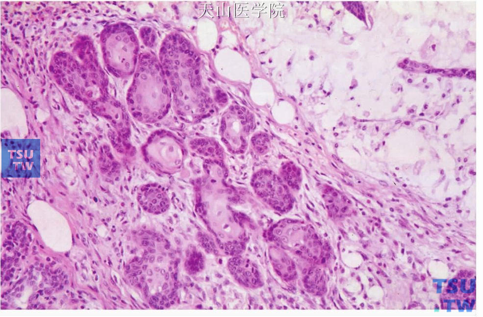
坏死性唾液腺化生
坏死性唾液腺化生(唾液腺瘤样病变的临床病理)
坏死性唾液腺化生(唾液腺瘤样病变的临床病理)
坏死性唾液腺化生(necrotizing sialometaplasia)为唾液腺的良性、自限性、反应性炎症过程。由Abrams等于1973年首先作为独立的硬腭小唾液腺疾病进行描述。由于坏死性唾液腺化
1
顶部