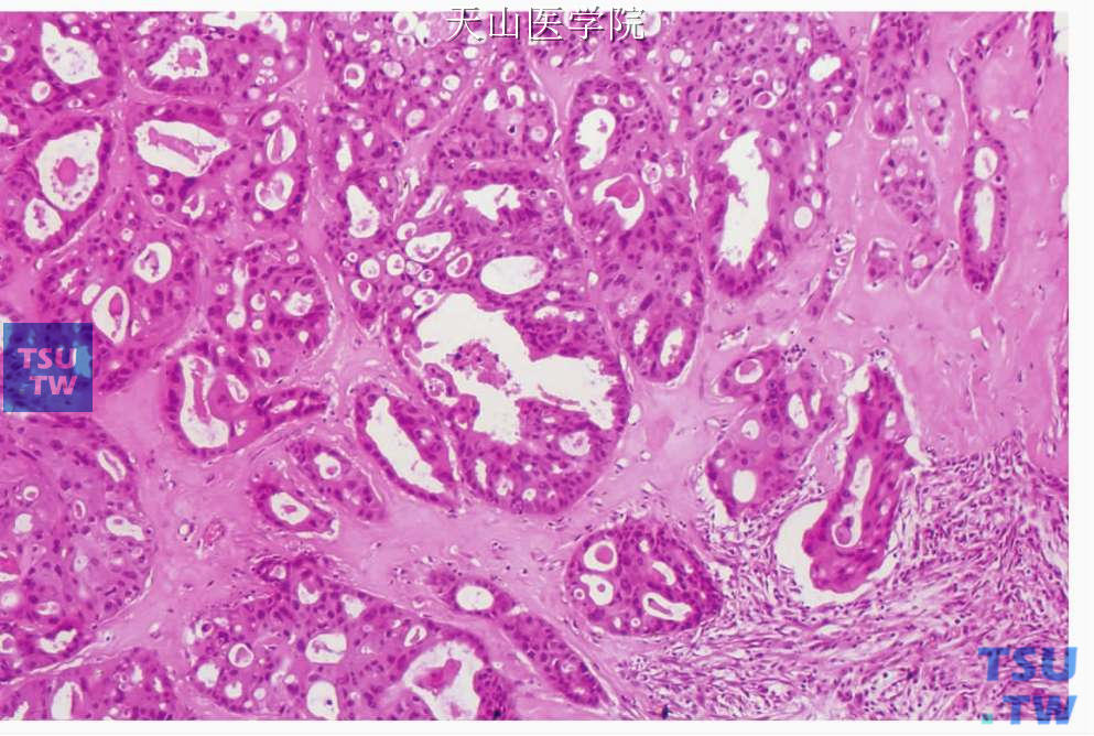
唾液腺导管癌(salivary duct carcinoma,SDC)是类似于乳腺高级别导管癌的少见的高度恶性的肿瘤,Kleinsasser等1968年首先报告,其组织结构与乳腺发生的导管癌极为相似,以多灶性界限