天山医学院
三
锁
X
#角膜老年环
检索
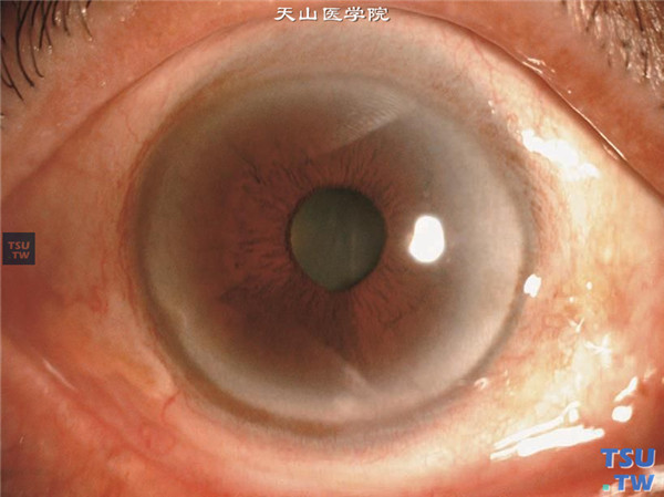
角膜老年环
角膜老年环及症状图解
角膜老年环及症状图解
角膜老年环(arcus senilis)是最常见的边缘性角膜混浊,是周边角膜基质内类脂质沉着所造成的。可能与家族或非家族性的异常高脂血症有关,在50~60岁人群中,约60%有角膜老年环,而年龄在
1
顶部