X
  • 精索静脉曲张的诊断及治疗

    精索静脉曲张是由于精索静脉蔓状丛伸长、扩张、迂曲,继而引起一系列临床症状的疾病。本病在男性青春期前即可发生,青春期后,随着年龄的增长,发病率逐渐增多。多见于18~30岁的青年

    1
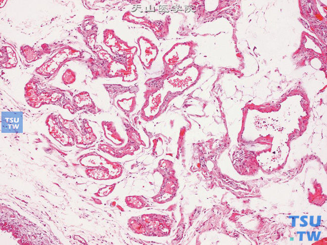
  • 精索静脉曲张病理图谱

    CT,精索静脉曲张,男,48岁,阴囊坠胀感。右侧阴囊见纡曲管状T1WI稍高T2WI稍低信号灶,DWI未见异常信号精索静脉曲张。示精索静脉因纡曲而呈结节状精索静脉曲张。示纡曲的静脉腔内

    2
  • 精索静脉曲张中医疗效评价标准及效果随访计划

    疗效评价标准 临床治愈:阴囊内曲张静脉团、胀痛症状消失,精液恢复正常或其妻受孕。 显效:阴囊内曲张静脉团变小,胀痛症状明显减轻,精子密度、数量、活力、活动率明显改善。 有效:

    3
  • 精索静脉曲张的中医诊断标准

    中医诊断参照《王琦男科学》(王琦.第2版.郑州:河南科学技术出版社,2007)、《男科专病中医临床诊治》(陈志强,江海身.第2版.北京:人民卫生出版社,2006)制定。中医诊断:筋瘤是指精索内蔓

    4
  • 精索静脉曲张的鉴别诊断

    参照《徐福松实用中医男科学》(徐福松.北京:中国中医药出版社,2009)制定。丝虫性精索淋巴管扩张:精索增厚、迂曲、扩张,与精索静脉曲张相似,但有反复发作的丝虫性精索炎史,触诊于精

    5
  • 精索静脉曲张的诊断标准

    精索静脉曲张是精索内蔓状静脉丛的异常扩张、伸长和迂曲为主要特征的一种男性常见疾病。本病多见于成年男性,而青少年中相对较少。目前很多学者认为,这种病人中相当一部分可引

    6
  • 弱精子症与精索静脉曲张、纤毛不动综合征的鉴别诊断

    精索静脉曲张:精索静脉曲张多见于20~30岁的青壮年,发病率为10%~15%;在不育男子中可达20%~30%;一般无明显不适,仅在体检时发现。较重者感觉阴囊肿大坠胀不适,睾丸或小腹胀痛等。生殖器

    7
  • 前列腺炎与精索静脉曲张会相互影响吗?

    精索静脉曲张是青壮年男性常见的疾病,精索静脉曲张是由于包绕精索的精索静脉和蔓状静脉丛的扩张而引起的血管性精子发生障碍。以左侧发病为多,亦可双侧发病或单发于右侧。精索

    8
  • 精索静脉曲张的病因、症状诊断及治疗方法

    精索静脉曲张(varicocele)是指精索的蔓状静脉丛异常扩张、伸长、迂曲。近20年的临床研究发现精索静脉曲张是男性不育症的重要原因之一。多数学者都认为精索静脉曲张可以影响精

    9