少数的上颌阻生智齿埋伏的位置较高且较前,邻近或进入上颌窦内,并且引起上颌窦症状的,必须进行手术将阻生智齿从上颌窦中取出。此类智齿拔除时,可经上颌前庭沟处切开入路,用高速的
1少数位于上颌骨后侧且位置较高的阻生智齿,拔除时需经上颌骨后上方、翼上颌间隙、颞间隙或颞下窝入路。进入这些解剖结构非常困难,且由于盲目操作,极易损伤重要的血管和神经,发生
2Ⅰ级:能直接使用拔牙钳或挺子拔除智齿。多为正位和低位阻生智齿。Ⅱ级:上颌中位近中倾斜或垂直阻生智齿的拔除,如单独使用颊侧切口,使用挺子拔除智齿者。如再有涡轮钻辅助冠切就
3倒逆是指上下颌智齿冠部向相反方向萌出生长的智齿,其智齿处在埋伏在颌骨内不能够萌出的状态。上颌倒逆阻生智齿是指智齿的咬合面朝向上方,见下图。上颌间位远中倾斜高位阻生智
6上颌水平阻生智齿按下颌阻生智齿的分类和阻生状态分别命名高、中、低位,同时按下颌相反的位置命名。上颌近中低位水平阻生智齿上颌近中中位水平阻生智齿上颌近中高位水平阻生
7上颌倾斜阻生智齿分为: 上颌近中倾斜低位阻生是指智齿近中冠缘低于第二磨牙远中冠部的外形高点; 上颌近中倾斜中位阻生是指智齿近中冠缘高于第二磨牙远中冠部的外形高点低于第
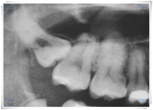
8上颌垂直阻生智齿是指上颌智齿的咬合面垂直向下,智齿的中轴线与上第二磨牙中轴线近似平行,智齿的咬合面高于前牙的咬合面。 上颌垂直低位阻生智齿,是指阻生智齿的咬合面位于前
9