天山医学院
三
锁
X
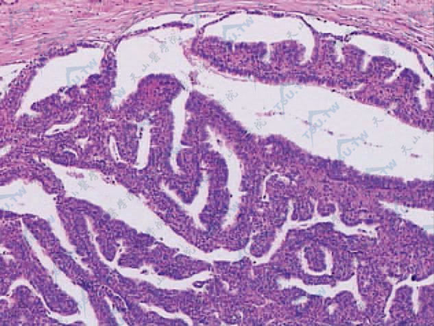
#乳头状汗腺腺瘤
检索
乳头状汗腺腺瘤
乳头状汗腺腺瘤
乳头状汗腺腺瘤
临床症状大多数发生在40~50岁女性外阴部,很少发生在20岁以内者。皮损最常见于大阴唇,少数在小阴唇,极少数发生于腋窝、乳房或肛门。肿瘤单发、小而境界清楚、圆形或卵圆形结节状
1
顶部