阴茎乳头状瘤是最常见的阴茎良性肿瘤之一,多见于中、青年,常发生于阴茎头、冠状沟、包皮系带和包皮内板,发病与包皮垢或炎症刺激有关,易癌变,治疗宜早期手术。临床诊断:肿瘤单发或
1上图:低恶倾向性乳头状肿瘤。示乳头状结构,细胞层次增多,细胞分化好,排列规则,有极性,伞细胞存在上图:低恶倾向性乳头状肿瘤,上图高倍,示乳头状结构,细胞层次增多,细胞分化好,排列规则,有
2上图:尿路上皮内翻性乳头状瘤(膀胱镜),肿瘤向膀胱腔面凸起,表面被覆的膀胱黏膜平滑而有光泽上图:尿路上皮内翻性乳头状瘤。梁状亚型。由相互吻合的梁状尿路上皮组成上图:尿路上皮内
3上图:CT,膀胱乳头状瘤,男,66岁,血尿;膀胱左侧壁见一结节状软组织密度灶以窄基底与膀胱壁相连,边缘光整,增强后可见强化上图:尿路上皮乳头状瘤(膀胱镜),为淡红色半透明有蒂的乳头状肿
5肾盂尿路上皮乳头状瘤 CT,肾盂乳头状瘤。男,47岁,超声示肾盂内占位。右肾盂内见一结节状软组织密度灶以宽基底与前壁相连,外缘清晰,增强后可见强化肾盂尿路上皮乳头状瘤。被覆
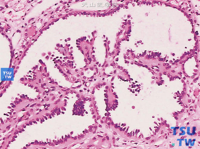
6图-1 肾乳头状腺瘤,结节状,边界清楚,位于肾皮质,紧邻肾被膜图-2 肾乳头状腺瘤,呈小管乳头状结构,细胞质稀少,胞核圆形或卵圆形,核仁不明显图-3 肾乳头状腺瘤。瘤细胞为大小一致的
7本病最早由Rock和Fisher在1960年描述。成年发病。曾报道1例13岁Down综合征的男孩伴发本病。是发生于口腔黏膜的弥漫性乳头瘤病。口腔鳞状上皮的乳头瘤增殖,可能是恶性的疣状
8